Suchergebnisse

schließen
 /  
L
L
R
R
Zusatzinformation

Die neue cosmetic dentistry – Funktion, Innovation & Ästhetik

Weitere Informationen und Artikel zum Thema!

#welovewhatwedo – 30 Jahre OEMUS MEDIA AG

Weitere Informationen und Artikel zum Thema!

30 Jahre: OEMUS launcht Website zum Jubiläum

Weitere Informationen und Artikel zum Thema!

Die neue cosmetic dentistry – Funktion, Innovation & Ästhetik

Weitere Informationen und Artikel zum Thema!

Weitere Informationen und Bestellung im Praxisshop

Die neue cosmetic dentistry – Funktion, Innovation & Ästhetik

Weitere Informationen und Artikel zum Thema!

#welovewhatwedo – 30 Jahre OEMUS MEDIA AG

Weitere Informationen und Artikel zum Thema!

30 Jahre: OEMUS launcht Website zum Jubiläum

Weitere Informationen und Artikel zum Thema!

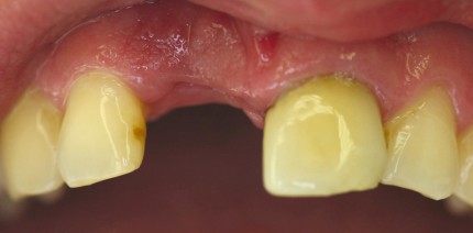
Spätimplantation mit Sofortbe­lastung nach Hartgewebsaufbau

Weitere Artikel und Informationen zum Thema!

Spätimplantation mit Sofortbelastung nach Hartgewebsaufbau

Weitere Informationen und Bilder zum Thema!

Dr. Sven Egger, M.Sc., M.Sc.

Weitere Informationen und Artikel zum Autor!

ZT Jürg Wermuth

Weitere Informationen und Artikel zum Autor!

Spätimplantation mit Sofortbelastung nach Hartgewebsaufbau

Weitere Informationen und Artikel zum Thema!

Spätimplantation mit Sofortbelastung nach Hartgewebsaufbau

Weitere Informationen und Bilder zum Thema!

Spätimplantation mit Sofortbelastung nach Hartgewebsaufbau

Weitere Informationen und Artikel zum Thema!

Spätimplantation mit Sofortbelastung nach Hartgewebsaufbau

Weitere Informationen und Bilder zum Thema!

Spätimplantation mit Sofortbelastung nach Hartgewebsaufbau

Weitere Informationen und Artikel zum Thema!

Spätimplantation mit Sofortbelastung nach Hartgewebsaufbau

Weitere Informationen und Bilder zum Thema!

Spätimplantation mit Sofortbelastung nach Hartgewebsaufbau

Weitere Informationen und Artikel zum Thema!

Spätimplantation mit Sofortbelastung nach Hartgewebsaufbau

Weitere Informationen und Bilder zum Thema!

Spätimplantation mit Sofortbelastung nach Hartgewebsaufbau

Weitere Artikel und Informationen zum Thema!

Spätimplantation mit Sofortbelastung nach Hartgewebsaufbau

Weitere Informationen und Bilder zum Thema!

Dr. Sven Egger, M.Sc., M.Sc.

Weitere Informationen und Artikel zum Autor!

ZT Jürg Wermuth

Weitere Informationen und Artikel zum Autor!

Weitere Informationen

Dr. Shayan Assadi

Weitere Informationen und Artikel zum Autor!

Fit für QM, Dokumentation & Hygiene – die aktuelle Update-Reihe 2024

Weitere Informationen und Artikel zum Thema!

Weitere Informationen und Anmeldung auf der Website

Dental News to go: Die Welt der Zahnmedizin jetzt bei WhatsApp

Weitere Informationen und Artikel zum Thema!

Dr. Shayan Assadi

Weitere Informationen und Artikel zum Autor!

Weitere Informationen

KI – Noch ein weiter Weg bis zum optimalen Einsatz

Weitere Informationen und Artikel zum Thema!

Dr. Esra Kosan

Weitere Informationen und Artikel zum Autor!

KI – Noch ein weiter Weg bis zum optimalen Einsatz

Weitere Informationen und Artikel zum Thema!

Dr. Esra Kosan

Weitere Informationen und Artikel zum Autor!

Weitere Informationen

Reparaturen mit Komposit in der Seniorenzahnmedizin

Weitere Informationen und Artikel zum Thema!

Prof. Dr. Cornelia Frese

Weitere Informationen und Artikel zum Autor!

Marlene Hartinger

Weitere Informationen und Artikel zum Autor!

Reparaturen mit Komposit in der Seniorenzahnmedizin

Weitere Informationen und Artikel zum Thema!

Marlene Hartinger

Weitere Informationen und Artikel zum Autor!

Prof. Dr. Cornelia Frese

Weitere Informationen und Artikel zum Autor!

Sharing is caring: Dentale Schreibtalente gesucht!

Weitere Informationen und Anmeldung auf unserer Website!

#welovewhatwedo – 30 Jahre OEMUS MEDIA AG

Weitere Informationen und Artikel zum Thema!

Friederike Heidenreich

Weitere Informationen und Artikel zum Autor!

Weitere Informationen

Weitere Informationen

#welovewhatwedo – 30 Jahre OEMUS MEDIA AG

Weitere Informationen und Artikel zum Thema!

30 Jahre: OEMUS launcht Website zum Jubiläum

Weitere Informationen und Artikel zum Thema!

Innovative Implantologie im Dezember in Baden-Baden

Weitere Informationen und Anmeldung auf unserer Website!

Weitere Informationen und Anmeldung auf unserer Website!

Implantologische Chirurgie im Dezember in Baden-Baden

Weitere Informationen und Anmeldung auf unserer Website!

Weitere Informationen und Anmeldung auf unserer Website

ZWP Designpreis 2024: Finale & Jurysitzung

Weitere Informationen in unserem Video!

ZWP Designpreis 2024: Gewinner und Shortlist

Weitere Informationen und Anmeldung auf unserer Website!

ZWP Designpreis 2024: Finale & Jurysitzung

Weitere Informationen in unserem Video!

ZWP Designpreis 2024: Gewinner und Shortlist

Weitere Informationen und Bilder zum Thema!

ZWP Designpreis 2024: Straffer Zeitplan, perfektes Resultat

Weitere Informationen und Bilder zum Thema!

ZWP Designpreis 2024: Gewinner und Shortlist

Weitere Informationen und Bilder zum Thema!

ZWP Designpreis 2024: Finale & Jurysitzung

Weitere Informationen in unserem Video!

ZWP Designpreis 2024: Straffer Zeitplan, perfektes Resultat

Weitere Informationen und Bilder zum Thema!

ZWP Designpreis 2024: Gewinner und Shortlist

Weitere Informationen und Bilder zum Thema!

ZWP Designpreis 2024: Finale & Jurysitzung

Weitere Informationen in unserem Video!

#reingehört mit Dr. Tobias Witte zum Thema Approbationsentzug in der Zahnmedizin

Weitere Informationen in unserem Podcast!

Dr. Tobias Witte

Weitere Informationen und Artikel zum Autor!

#reingehört mit Dr. Tobias Witte zum Thema Approbationsentzug in der Zahnmedizin

Weitere Informationen in unserem Podcast!

Dr. Tobias Witte

Weitere Informationen und Artikel zum Autor!

Gefährlicher Trend: Kaugummikauen für definierte Kieferpartie

Weitere Informationen und Artikel zum Thema!

Auswirkungen der Mundgesundheit auf die Lebensqualität im Alter

Weitere Informationen und Artikel zum Thema!

Teenager unter Stress: Angst vor Spritzen beim Zahnarzt

Weitere Informationen und Bilder zum Thema!

Dental News to go: Die Welt der Zahnmedizin jetzt bei WhatsApp

Weitere Informationen und Anmeldung auf unserer Website!

Interdisziplinäre Fortbildung beim 21. IGÄM-Kongress

Weitere Informationen und Artikel zum Thema!

21. IGÄM-Kongress: Interdisziplinäre Fortbildung und Live-Demonstrationen

Weitere Informationen und Bilder zum Thema!

Interdisziplinäre Fortbildung beim 21. IGÄM-Kongress

Weitere Informationen und Artikel zum Thema!

21. IGÄM-Kongress: Interdisziplinäre Fortbildung und Live-Demonstrationen

Weitere Informationen und Bilder zum Thema!

DGKZ - Deutsche Gesellschaft für Kosmetische Zahnmedizin e.V.

Weitere Informationen zur Fachgesellschaft!

DGKZ - Deutsche Gesellschaft für Kosmetische Zahnmedizin e.V.

Weitere Informationen zur Fachgesellschaft!

Der MUNDHYGIENETAG 2024 im November in Düsseldorf

Weitere Informationen und Anmeldung auf unserer Website!

Fit für QM, Dokumentation & Hygiene – die aktuelle Update-Reihe 2024

Weitere Informationen und Anmeldung auf unserer Website!

Badisches Forum: Implantologie und Allgemeine Zahnheilkunde

Weitere Informationen und Anmeldung auf unserer Website!

Fit im Umgang mit Blutkonzentraten – Neue Kurse 2024

Weitere Informationen und Anmeldung auf unserer Website!

Weitere Informationen und Anmeldung auf unserer Website

 /  44

Die neue cosmetic dentistry – Funktion, Innovation & Ästhetik

Weitere Informationen und Artikel zum Thema!

#welovewhatwedo – 30 Jahre OEMUS MEDIA AG

Weitere Informationen und Artikel zum Thema!

30 Jahre: OEMUS launcht Website zum Jubiläum

Weitere Informationen und Artikel zum Thema!

Die neue cosmetic dentistry – Funktion, Innovation & Ästhetik

Weitere Informationen und Artikel zum Thema!

Weitere Informationen und Bestellung im Praxisshop

Die neue cosmetic dentistry – Funktion, Innovation & Ästhetik

Weitere Informationen und Artikel zum Thema!

#welovewhatwedo – 30 Jahre OEMUS MEDIA AG

Weitere Informationen und Artikel zum Thema!

30 Jahre: OEMUS launcht Website zum Jubiläum

Weitere Informationen und Artikel zum Thema!

Spätimplantation mit Sofortbe­lastung nach Hartgewebsaufbau

Weitere Artikel und Informationen zum Thema!

Spätimplantation mit Sofortbelastung nach Hartgewebsaufbau

Weitere Informationen und Bilder zum Thema!

Dr. Sven Egger, M.Sc., M.Sc.

Weitere Informationen und Artikel zum Autor!

ZT Jürg Wermuth

Weitere Informationen und Artikel zum Autor!

Spätimplantation mit Sofortbelastung nach Hartgewebsaufbau

Weitere Informationen und Artikel zum Thema!

Spätimplantation mit Sofortbelastung nach Hartgewebsaufbau

Weitere Informationen und Bilder zum Thema!

Spätimplantation mit Sofortbelastung nach Hartgewebsaufbau

Weitere Informationen und Artikel zum Thema!

Spätimplantation mit Sofortbelastung nach Hartgewebsaufbau

Weitere Informationen und Bilder zum Thema!

Spätimplantation mit Sofortbelastung nach Hartgewebsaufbau

Weitere Informationen und Artikel zum Thema!

Spätimplantation mit Sofortbelastung nach Hartgewebsaufbau

Weitere Informationen und Bilder zum Thema!

Spätimplantation mit Sofortbelastung nach Hartgewebsaufbau

Weitere Informationen und Artikel zum Thema!

Spätimplantation mit Sofortbelastung nach Hartgewebsaufbau

Weitere Informationen und Bilder zum Thema!

Spätimplantation mit Sofortbelastung nach Hartgewebsaufbau

Weitere Artikel und Informationen zum Thema!

Spätimplantation mit Sofortbelastung nach Hartgewebsaufbau

Weitere Informationen und Bilder zum Thema!

Dr. Sven Egger, M.Sc., M.Sc.

Weitere Informationen und Artikel zum Autor!

ZT Jürg Wermuth

Weitere Informationen und Artikel zum Autor!

Weitere Informationen

Dr. Shayan Assadi

Weitere Informationen und Artikel zum Autor!

Fit für QM, Dokumentation & Hygiene – die aktuelle Update-Reihe 2024

Weitere Informationen und Artikel zum Thema!

Weitere Informationen und Anmeldung auf der Website

Dental News to go: Die Welt der Zahnmedizin jetzt bei WhatsApp

Weitere Informationen und Artikel zum Thema!

Dr. Shayan Assadi

Weitere Informationen und Artikel zum Autor!

Weitere Informationen

KI – Noch ein weiter Weg bis zum optimalen Einsatz

Weitere Informationen und Artikel zum Thema!

Dr. Esra Kosan

Weitere Informationen und Artikel zum Autor!

KI – Noch ein weiter Weg bis zum optimalen Einsatz

Weitere Informationen und Artikel zum Thema!

Dr. Esra Kosan

Weitere Informationen und Artikel zum Autor!

Weitere Informationen

Reparaturen mit Komposit in der Seniorenzahnmedizin

Weitere Informationen und Artikel zum Thema!

Prof. Dr. Cornelia Frese

Weitere Informationen und Artikel zum Autor!

Marlene Hartinger

Weitere Informationen und Artikel zum Autor!

Reparaturen mit Komposit in der Seniorenzahnmedizin

Weitere Informationen und Artikel zum Thema!

Marlene Hartinger

Weitere Informationen und Artikel zum Autor!

Prof. Dr. Cornelia Frese

Weitere Informationen und Artikel zum Autor!

Sharing is caring: Dentale Schreibtalente gesucht!

Weitere Informationen und Anmeldung auf unserer Website!

#welovewhatwedo – 30 Jahre OEMUS MEDIA AG

Weitere Informationen und Artikel zum Thema!

Friederike Heidenreich

Weitere Informationen und Artikel zum Autor!

Weitere Informationen

Weitere Informationen

#welovewhatwedo – 30 Jahre OEMUS MEDIA AG

Weitere Informationen und Artikel zum Thema!

30 Jahre: OEMUS launcht Website zum Jubiläum

Weitere Informationen und Artikel zum Thema!

Innovative Implantologie im Dezember in Baden-Baden

Weitere Informationen und Anmeldung auf unserer Website!

Weitere Informationen und Anmeldung auf unserer Website!

Implantologische Chirurgie im Dezember in Baden-Baden

Weitere Informationen und Anmeldung auf unserer Website!

Weitere Informationen und Anmeldung auf unserer Website

ZWP Designpreis 2024: Finale & Jurysitzung

Weitere Informationen in unserem Video!

ZWP Designpreis 2024: Gewinner und Shortlist

Weitere Informationen und Anmeldung auf unserer Website!

ZWP Designpreis 2024: Finale & Jurysitzung

Weitere Informationen in unserem Video!

ZWP Designpreis 2024: Gewinner und Shortlist

Weitere Informationen und Bilder zum Thema!

ZWP Designpreis 2024: Straffer Zeitplan, perfektes Resultat

Weitere Informationen und Bilder zum Thema!

ZWP Designpreis 2024: Gewinner und Shortlist

Weitere Informationen und Bilder zum Thema!

ZWP Designpreis 2024: Finale & Jurysitzung

Weitere Informationen in unserem Video!

ZWP Designpreis 2024: Straffer Zeitplan, perfektes Resultat

Weitere Informationen und Bilder zum Thema!

ZWP Designpreis 2024: Gewinner und Shortlist

Weitere Informationen und Bilder zum Thema!

ZWP Designpreis 2024: Finale & Jurysitzung

Weitere Informationen in unserem Video!

#reingehört mit Dr. Tobias Witte zum Thema Approbationsentzug in der Zahnmedizin

Weitere Informationen in unserem Podcast!

Dr. Tobias Witte

Weitere Informationen und Artikel zum Autor!

#reingehört mit Dr. Tobias Witte zum Thema Approbationsentzug in der Zahnmedizin

Weitere Informationen in unserem Podcast!

Dr. Tobias Witte

Weitere Informationen und Artikel zum Autor!

Gefährlicher Trend: Kaugummikauen für definierte Kieferpartie

Weitere Informationen und Artikel zum Thema!

Auswirkungen der Mundgesundheit auf die Lebensqualität im Alter

Weitere Informationen und Artikel zum Thema!

Teenager unter Stress: Angst vor Spritzen beim Zahnarzt

Weitere Informationen und Bilder zum Thema!

Dental News to go: Die Welt der Zahnmedizin jetzt bei WhatsApp

Weitere Informationen und Anmeldung auf unserer Website!

Interdisziplinäre Fortbildung beim 21. IGÄM-Kongress

Weitere Informationen und Artikel zum Thema!

21. IGÄM-Kongress: Interdisziplinäre Fortbildung und Live-Demonstrationen

Weitere Informationen und Bilder zum Thema!

Interdisziplinäre Fortbildung beim 21. IGÄM-Kongress

Weitere Informationen und Artikel zum Thema!

21. IGÄM-Kongress: Interdisziplinäre Fortbildung und Live-Demonstrationen

Weitere Informationen und Bilder zum Thema!

DGKZ - Deutsche Gesellschaft für Kosmetische Zahnmedizin e.V.

Weitere Informationen zur Fachgesellschaft!

DGKZ - Deutsche Gesellschaft für Kosmetische Zahnmedizin e.V.

Weitere Informationen zur Fachgesellschaft!

Der MUNDHYGIENETAG 2024 im November in Düsseldorf

Weitere Informationen und Anmeldung auf unserer Website!

Fit für QM, Dokumentation & Hygiene – die aktuelle Update-Reihe 2024

Weitere Informationen und Anmeldung auf unserer Website!

Badisches Forum: Implantologie und Allgemeine Zahnheilkunde

Weitere Informationen und Anmeldung auf unserer Website!

Fit im Umgang mit Blutkonzentraten – Neue Kurse 2024

Weitere Informationen und Anmeldung auf unserer Website!

Weitere Informationen und Anmeldung auf unserer Website